안녕하세요! 오늘은 구강암에 대해 이야기해 보려고 해요. 구강암은 입 안에서 발생하는 암으로, 초기에 발견하면 치료 가능성이 높지만, 방치하면 말하기·씹기·삼키기 같은 기본적인 생활에도 큰 영향을 주는 무서운 질환이에요. 그럼 구강암의 원인, 증상, 진단 및 치료방법, 음식관련해서 구체적으로 살펴볼까요?

✨ 구강암이란?
구강암은 입 안 점막, 혀, 잇몸, 입천장, 구강저(혀 밑부분) 등에서 발생하는 악성 종양을 말해요. 가장 흔한 형태는 편평 세포암으로, 전체 구강암의 대부분을 차지합니다.
✨ 구강암의 원인
구강암은 다양한 위험 요인에 의해 발생할 수 있어요.
- 흡연 : 담배 속 발암물질이 구강 점막에 직접 닿아 위험을 높여요.
- 과음 : 술은 구강 점막을 자극하고, 흡연과 함께하면 발병 위험이 배로 증가해요.
- 구강 위생 불량 : 만성적인 염증, 잦은 잇몸 출혈 등이 구강암의 원인이 될 수 있어요.
- HPV 감염 : 인유두종바이러스(HPV)가 구강암과 연관 있다는 연구가 있어요.
- 잘 맞지 않는 의치, 만성적 자극 : 반복적인 물리적 상처도 암 발생 요인이 될 수 있어요.
- 영양 부족 : 특히 비타민 A, C, E 결핍은 발병률을 높인다고 알려져 있어요.
✨ 구강암의 증상
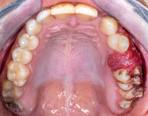
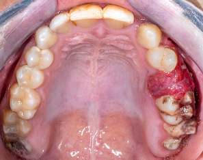
구강암은 초기에 알아차리기 쉽지 않아요. 하지만 아래와 같은 증상이 있으면 꼭 확인해봐야 해요.
- 입 안에 치료해도 낫지 않는 궤양(상처)
- 붉거나 흰 반점이 오래 지속됨
- 씹을 때 통증이나 이물감
- 혀 또는 잇몸 부위 덩어리
- 지속적인 입 냄새
- 혀 움직임 제한, 발음 변화
- 턱 통증, 귀로 퍼지는 통증
만약 이런 증상이 2주 이상 지속된다면 반드시 전문의 진료를 받아야 해요.
✨ 구강암의 진단 방법
구강암은 다음과 같은 검사를 통해 진단해요.
- 시진 및 촉진 검사 : 의사가 입 안을 직접 보고 만져보며 확인
- 조직 검사(생검) : 의심 부위의 조직을 떼어내 현미경으로 확인
- 영상 검사 : CT, MRI, 초음파 등으로 암의 크기와 주변 조직 침범 여부 확인
- 혈액 검사 : 전신 건강 상태와 함께 다른 장기 전이를 확인
✨ 구강암의 치료 방법
구강암은 **병기(암의 진행 단계)**와 위치에 따라 치료법이 달라져요.
- 수술 : 암 조직을 제거하는 가장 기본적인 방법
- 방사선 치료 : 암세포를 죽이거나 재발을 막기 위해 시행
- 항암 화학요법 : 진행이 심하거나 전이가 있을 때 사용
- 면역·표적 치료제 : 최근에는 특정 분자만 공격하는 맞춤형 치료도 연구·사용되고 있어요
초기에 발견하면 치료 성공률이 높지만, 진행이 되면 턱뼈 제거, 말하기·삼키기 장애가 남을 수 있으니 조기 발견이 무엇보다 중요해요.
✨ 구강암에 좋은 음식
구강암 예방과 치료 보조에 도움이 되는 음식들이 있어요.
- 항산화 채소 : 브로콜리, 양배추, 시금치 → 암세포 성장을 억제
- 비타민 C 풍부한 과일 : 딸기, 오렌지, 키위 → 면역력 강화
- 녹차 : 카테킨 성분이 발암물질 억제
- 토마토 : 라이코펜이 암 예방 효과
- 등 푸른 생선 : 오메가-3 지방산이 염증 완화
🚫 구강암에 피해야 할 음식
반대로 구강암 환자나 위험군이 조심해야 할 음식도 있어요.
- 술 : 구강 점막을 자극하고 발암 위험을 높여요
- 담배 : 절대 금물
- 맵고 짠 음식 : 상처 난 구강 점막을 자극해 악화 가능
- 탄 음식(직화구이 등) : 발암물질이 포함되어 있어 위험
- 단단하고 거친 음식 : 잦은 자극으로 구강 점막 손상 유발
✨ 마무리
구강암은 생활 습관과 밀접하게 관련된 암이에요. 특히 흡연과 음주는 가장 큰 원인이라 할 수 있죠. 정기적인 구강 검진, 올바른 구강 위생 관리, 균형 잡힌 식단은 구강암 예방에 큰 도움이 돼요.
혹시 입 안에 낫지 않는 상처나 덩어리가 있다면, “설마” 하지 말고 바로 병원을 방문해 보세요. 조기 발견이 곧 최고의 치료예요.






'건강 및 생활 정보' 카테고리의 다른 글
| 림프종이란?, 원인, 증상, 진단, 치료방법, 좋은 음식, 피해야 할 음식 총정리 (1) | 2025.10.05 |
|---|---|
| 혈액암이란? 원인, 증상, 치료방법, 좋은 음식, 피해야 할 음식 총정리 (0) | 2025.10.03 |
| 신장암이란? 원인, 증상, 진단, 치료방법, 좋은 음식, 피해야 할 음식 (0) | 2025.09.29 |
| 담낭암이란? 원인, 증상, 진단, 치료 방법, 좋은 음식, 피해야 할 음식 (0) | 2025.09.29 |
| 뇌종양이란? 원인, 증상, 진단, 치료 방법, 좋은 음식, 피해야 할 음식 (0) | 2025.09.27 |